Ukraine
Найважливіші новини Естонії українською мовою
Зараз найважливіші новини Естонії доступні українською мовою!
Forte

Forte uudised


Nädala populaarseim uudis
23.03.2026 − 29.03.2026
Värsked uudised
Vanemad uudised
vanemad kui 24 tundi
Forte
Forte · 24.05.2021 11:37

Garaažist välja: uus Renault Arkana – kena ja kõrgele tõstetud kupee

Uue Renault Arkana esimesed autod on Eestis – tegemist on kaasaegse väljanägemisega kupeekerega automudeliga, millele antud linnamaasturi kõrgus ning mahukas pagasiruum ja mille väike täiendav elektrimootor annab ka väikese kütusekokkuhoiu. Vaata lähemalt

0

Forte
Forte · 24.05.2021 11:01

Reisilennukeid tabavad vahel ohtliku kiirguse pursked

Teadlased hoiatavad: ainuüksi lennukis reisimine võib põhjustada kokkupuudet ohtlikult tugeva kosmilise kiirgusega — tõsi, ainult väga spetsiifilistel juhtudel. Vaata lähemalt

0

Forte
Forte 2 koht · 24.05.2021 10:52

Olukord on muutunud: vaktsineerimise aegu kipub üle olema, tuleb uus kampaania

Kui kogu möödunud nädala ägises digiregistratuur vaktsineerimisele soovijate masside taha ning tipphetkedel oli digijärjekorras ligi 50 000 inimest, siis tänaseks on olukord kapitaalselt muutunud – aegu kipub ülegi jääma. Vaata lähemalt

177

Forte
Forte · 24.05.2021 10:01

VIDEO | Proovisõit: Škoda Enyaq – justkui ID.4, aga kallim ja praktilisem

Škoda uusim elektriline linnadžiip Enyaq jagab paljuski tehnoloogiat Volkswagen ID.4-ga, aga, nagu selgub, on autod siiski väga erinevad. Vaata lähemalt

0

Forte
Forte 2 koht · 23.05.2021 14:37

TEADUSINTERVJUU | Aadu Must: esimesed eestlased saabusid Siberisse vallutajatena

Tänapäeval seondub Siber ning Kaug-Ida eestlaste enamikule Stalini-aegsete repressioonidega. Kuid eestlaste sidemed selle kauge kandiga on palju pikemad. Tartu Ülikooli professor Aadu Must räägib, et on olnud ajad kui Vene Impeeriumi ametnikud lootsid eestlaste abiga nendelt aladelt „kollase rassi” esindajaid välja tõrjuda. Vaata lähemalt

55

Forte
Forte 2 koht · 23.05.2021 11:01

Telefonist saab naha-arst, telekapult, autovõti... põnevaid noppeid Google'i suurürituselt I/O 2021

Google korraldab oma seadmete ja teenuste jaoks tarkvara arendajatele igal aastal suurürituse I/O, kus tutvustab paljusid uuendusi, mida lähitulevikus oodata, või muid põnevaid eksperimente. Vaata lähemalt

3

Forte
Forte 3 koht · 23.05.2021 09:22

Eesti vanainimeste kontodelt varastatud raha kadus anonüümsust pakkuvate makseteenuste sohu

Eestis elavate peamiselt vanemate venelaste pangakontodelt on sel aastal jäljetult varastatud kokku enam kui pool miljonit eurot ning võimalikuks on see saanud tänu telefonikelmidele anonüümsust pakkuvatele makseteenustele, virtuaalnumbrit lahendustele, tankistidele ja krüptorahadele. Vaata lähemalt

0

Forte
Forte 2 koht · 22.05.2021 13:00

1927: beebirööv, mis vapustas maailma

Kui Charles Lindbergh lendas 1927. aastal üksinda üle Atlandi ookeani, sai temast üks Ameerika superstaare. Kõike, mida kangelaspiloot tegi, kajastati ajalehtede esikülgedel. Vaata lähemalt

2

Forte
Forte 3 koht · 22.05.2021 11:00

KUULA | "Puhata ja mängida": Eesti videomängude kuu – "Disco Elysium"

"Puhata ja mängida" on iganädalane videomänguteemaline jutusaade Delfi Taskus ja YouTube'is. Saatejuhid on Rainer Peterson, Rein Zobel ja Martin Mets. Vaata lähemalt

0

Forte
Forte 2 koht · 21.05.2021 14:41

Karbist välja: Xiaomi Redmi Note10 5G – ka odav telefon võib olla 5G

Hiina mobiilitööstus tervikuna pole pärast Huawei kuulsusetut tagasitõmbumist rahvusvaheliselt turult sugugi surnud, mitme teise üritaja seas on jätkuvalt elujõus näiteks Xiaomi, mis toob kohe Eesti turule kõige odavama 5G telefoni üldse. Vaata lähemalt

1

Forte
Forte 3 koht · 21.05.2021 13:03

Garaažist välja: BMW esimene elektrimaastur iX3 jõudis Eestisse ja see on võimas

Eestis esindustesse on jõudnud BMW esimene SAV elektriline maastur BMW iX3 ja see on üsna kindlalt oma klassi võimsam (ja ühtlasi kallim) isend. Vaata lähemalt

0

Forte
Forte · 21.05.2021 12:43

Ameerika teine epideemia: San Franciscos suri mullu rohkem inimesi üledooside kui koroonahaiguse tõttu

Koroonaviirus ja -haigus koguvad nii palju meediatähelepanu, et tekkida võib tunne, nagu muud massiliselt ilmnevad terviseprobleemid on kuhugi kadunud. Selle meenutamiseks sobib ka järgnev näide USAst. Vaata lähemalt

0

Forte
Forte 1 koht · 21.05.2021 11:16

Eesti isikutuvastussüsteeme tabas laiaulatuslik rike: ID-kaartide, Mobiil-iD ja Smart-ID väljastamine oli südaööst alates seiskunud

Täna alates kella veerand ühest öösel oli tehnilise rikke tõttu häiritud Smart-ID registreerimine ja Mobiil-ID ning ID-kaardi ja ka elamisloakaartide väljastamine. Vaata lähemalt

43

Forte
Forte 2 koht · 21.05.2021 10:22

POOLT JA VASTU | Laaneots vs Laigna: kas 21. sajandi kaitsevägi vajab üldse kaplaneid?

Martin Heremi otsus likvideerida kaitseväe kaplaniteenistus on viimasel nädalal pälvinud palju vastukaja. Forte uuris kindral Ants Laaneotsalt ja endiselt pastorilt ning kaitseväe ohvitserilt Einar Laignalt kas 21. sajandi sõjavägi vajab vaimulikke. Vaata lähemalt

42

Forte
Forte 3 koht · 21.05.2021 10:12

Võimalik: Veenusel leidub elu, aga see on pilvedesse kolinud

Gaas fosfaan on tavaliselt kindel märk elu kohta, nii et kui teadlased seda Veenuse atmosfäärist leidsid, äratas see tähelepanu. Vaata lähemalt

11

Forte
Forte · 20.05.2021 14:45

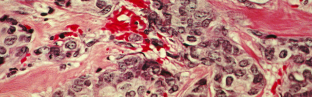
Miks vähirakud nii palju energiat raiskavad? Vastus võib aidata leida uusi vähiravimeid

1920. aastate Saksamaal avastas keemik Otto Warburg, et vähirakud ei omasta suhkrut samamoodi, nagu terved rakud seda enamasti teevad. Sellest peale on uuritud, miks rakendavad vähirakud alternatiivset ainevahetusrada, mis on palju vähem tõhus. Vaata lähemalt

4

Forte
Forte · 20.05.2021 13:59

AVAMEELNE INTERVJUU | Vastutav asekantsler Kalle Killar: mis juhtus vaktsineerimisele pääsemisega?

Eesti inimesed on koroonaviiruse vastu vaktsineerimisele pääsemise digijärjekorra tõttu juba nädal aega olnud sisuliselt ära lõigatud patsiendiportaali kõigist teistest teenustest. Sotsiaalministeeriumi e-teenuste ja innovatsiooni asekantsler Kalle Killar rääkis Fortele antud intervjuus Digilooga seotud probleemide tagamaadest. Vaata lähemalt

0

Forte
Forte · 20.05.2021 13:59

INTERVJUU | Vastutav asekantsler Kalle Killar: mis juhtus vaktsineerimisele pääsemisega?

Eesti inimesed on koroonaviiruse vastu vaktsineerimisele pääsemise digijärjekorra tõttu juba nädal aega olnud sisuliselt ära lõigatud patsiendiportaali kõigist teistest teenustest. Sotsiaalministeeriumi e-teenuste ja innovatsiooni asekantsler Kalle Killar rääkis Fortele antud intervjuus Digilooga seotud probleemide tagamaadest. Vaata lähemalt

0

Forte
Forte · 20.05.2021 12:32

Microsoft saadab oma legendaarse brauseri Internet Explorer pensionile (jah, jälle)

Microsoft saadab oma legendaarse veebisirviku Internet Explorer juba ei-tea-mitmendat korda pensionile. Kuid alles aasta pärast. Vaata lähemalt

4

Populaarsemad allikad

  • Sa näed 717 uudist (kokku 717).
  • Allikaid 113 (kokku 113).
Postimees 100% 100
Maaleht 0%
MinuAeg 0%
Propastop 0%
Meie Kirik – Uudised 0%
Vaata allikaid »

Pane LIKE Facebook-is ja ära maga maha päeva kõige tähtsamat uudist!

30.03.2026 13:42
Viimane uuendus: 13:36.
Uudiste reiting uuendatud: 13:32.

Mis on Uudis.net?

Uudis.net näitab populaarsemate uudiste edetabelit erinevatest Eesti uudisteportaalidest.
Meie tööpõhimõttetest loe lähemalt KKK rubriigist.

Keele valik

Српски / srpski Eesti keel (Eesti uudised) Русский язык (новости Эстонии) Українська мова (новини Естонії)


Uudis.net © 2026