Ukraine
Найважливіші новини Естонії українською мовою
Зараз найважливіші новини Естонії доступні українською мовою!

159 koht 0

340 Tarkusehammastest – kas nende eemaldamine on vajalik ja mõttekas?

Telegram
Telegram.ee @ Telegram 1 koht · täna 09:09

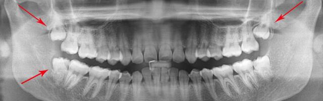
Tarkusehammastest – kas nende eemaldamine on vajalik ja mõttekas?

Tavaliselt meie keha ei kasvata suvalisi ebavajalikke osi – igal kehaosal ja organil on täita oma funktsioon. Kuna kõik meie kehas on omavahel seotud, siis mõjutavad erinevad kehaosad ja organid üksteist mitmel eri viisil ning selle tasakaalu muutmine võib kaasa tuua ettenägematuid tagajärgi. See kehtib ka hammaste kohta. Osas riikides on levinud soovitus eemaldada tarkusehambad ka ...

Detailse uudise statistika vaatamiseks logi palun sisse »

Loe allikast

Lisa oma kommentaar
Kommentaaride lugemiseks ja lisamiseks pead olema sisse loginud Facebook'i kontoga.

Tähtsamad uudised sinu postkastis!

Saadame välja 10 olulisemat Eesti uudist keskpäeva paiku igapäevases uudiskirjas. Vajuta nuppu ja me saadame sulle vaid kõige tähtsamad uudised ja koroonaviiruse infot ja ei saada spämmi.

või registreeru

🟩 🟩 ⬜ 🟩 🟨
⬜ ⬜ ⬜ ⬜ ⬜
⬜ ⬜ ⬜ ⬜ ⬜
⬜ ⬜ ⬜ ⬜ ⬜
Legendaarne sõnamäng Wordle nüüd eesti keeles!
Arva ära tänane sõna!

Pane LIKE Facebook-is ja ära maga maha päeva kõige tähtsamat uudist!

Popimad uudised samast allikast
Telegram Telegram
Geenius
Sanne Taveter @ Geenius 1 koht · täna 14:15

Kui elu ei lähe plaanipäraselt: mis saab ühiselt võetud kodulaenust siis, kui paar läheb lahku?

Luminori eelmise aasta statistika kohaselt võetakse ligi pool kodulaenudest koos kaastaotlejaga. Kuigi ühine laen suurendab laenuvõimekust ja võimaldab soetada kallima kodu, tekib lahkumineku korral küsimus, kuidas ühise kohustusega edasi toimida. Luminori kodulaenude valdkonnajuht Helina Kikas selgitab, millised on lahendused ja mida sealjuures arvestada. Loe "Kui elu ei lähe plaanipäraselt: mis saab ühiselt võetud kodulaenust siis, kui paar läheb lahku?" täispikka artiklit portaalist Rahageenius. Vaata lähemalt

0 uustulnuk

🔮
03.03.2026 ♊︎ Kallis Kaksikud, täna lubab teie horoskoop teile keerulisi katsumusi, mis nõuavad erilist tähelepanu ja kannatlikkust.... Vaata lähemalt ›
Accelerista
Vladimir Niinimäki @ Accelerista 1 koht · täna 14:15

BMW X1 sDrive18i: premium-mark keskklassi hinnaga?

Vladimir Niinimäki tegi proovisõidu BMW X1 sDrive18i kolmesilindrilise mootoriga väikese linnadžiibiga ning leiab, et tegu on ratsionaalselt läbi mõeldud sõiduautoga Source Vaata lähemalt

0 uustulnuk

🟩 🟩 ⬜ 🟩 🟨
⬜ ⬜ ⬜ ⬜ ⬜
⬜ ⬜ ⬜ ⬜ ⬜
⬜ ⬜ ⬜ ⬜ ⬜
Legendaarne sõnamäng Wordle nüüd eesti keeles!
Arva ära tänane sõna!
Õhtuleht
Toimetas Triin Tael @ Õhtuleht 1 koht · täna 14:15

Nicole Kidmani ja Keith Urbani vanem tütar Sunday Rose (17) lõi nädalavahetusel New Yorgi moenädalal laineid – kuid hoopis soovimatul põhjusel, nagu märgib Daily Mail. Vaata lähemalt

0 uustulnuk

Õhtuleht
Deivil Tserp @ Õhtuleht 2 koht · täna 14:14

Mullu juunioride EMil 400 meetri tõkkejooksus pronksmedali võitnud Viola Hambidge harjutab sügisest Eesti rekordimehe Rasmus Mägi juhendamisel. Sisehooaeg näitas, et nende koostöö sujub kiiduväärselt. Vaata lähemalt

0 uustulnuk

Virumaa Teataja
Virumaa Teataja 1 koht · täna 14:12

Rakvere linnavalitsus väljastas korralduse võtta vastu Tiigi 3 kinnistu ehk endise piimakombinaadi kvartali detailplaneering. Vaata lähemalt

0 uustulnuk

ERR
ERR 1 koht · täna 14:11

Meos: Narva Vaba Lava on jõudnud kriitilise piirini

SA Vaba Lava teatas kirjas kultuuriminister Heidy Purgale, et teatri jätkamine Narvas on sattunud ohtu. Kuigi teatril on võimalus pikendada Narva teatrikeskuse rendilepingut hoone omanikuga 2031. aastani, ei võimalda praegune riigipoolne tegevustoetus finantsilist kohustust võtta. Vaata lähemalt

0 uustulnuk

Õhtuleht
Kristjan Väli @ Õhtuleht 3 koht · täna 14:10

Tallinnas Mustamäel asuva toidupoe seifi relvaähvardusel tühjaks teinud Vjatšeslav Belõi ja Jevgeni Spiridonov said karistuseks viis ja pool aastat vangistust, mis on samalaadse kuriteo eest mõistetavast keskmisest – üheksa aasta pikkusest vangistusest – oluliselt vähem. Vaata lähemalt

0 uustulnuk

ERR
ERR 2 koht · täna 14:07

Churakov ja Nesterov naudivad iluuisutamise juures muusikat

Tallinnas toimuvatel iluuisutamise juunioride maailmameistrivõistlustel tulevad Eesti sportlastest esimestena areenile meesüksiksõitjad Vladislav Churakov ja Ilya Nesterov. Vaata lähemalt

0 värske

Virumaa Teataja
Virumaa Teataja 2 koht · täna 14:05

Tänavune saalijalgpalli esiliiga võitjavõistkond tuleb Pärnumaalt, sest SJK Hagalaz võitis mäekõrguse eduga. Lääne-Virumaad esindanud FC Freedom tegi oma debüüthooajal väärika tulemuse. Vaata lähemalt

0 uustulnuk

ERR
ERR 3 koht · täna 14:04

Timo Suslov: realistlik tee Eesti energiajulgeolekuni

Kui tahame energiasõltumatust, konkurentsivõimelist majandust ja madalamaid hindu, peame looma mitmekesise energiaportfelli. Tagasipöördumine põlevkivijaamade ehituse juurde tähendaks sadade miljonite eurode investeerimist tehnoloogiasse, mille konkurentsivõime väheneb, kirjutab Timo Suslov. Vaata lähemalt

0 värske

Järva Teataja
Järva Teataja 1 koht · täna 14:02

Paide perearst Ingrid Alt on alati olnud kaalu langetavate ravimite usku ja võttis maailma meditsiinikirjandusele tuginedes oma ülekaaluliste patsientide ravis kohe kasutusele algselt diabeetikute raviks mõeldud semaglutiidi. Vaata lähemalt

0 värske

Saarte Hääl
Saarte Hääl 1 koht · täna 14:01

Eesti saalihoki liidu ja Tallink Floorballi koostöös toimunud rahvahääletus lõppes märgilise võiduga Saaremaa noortespordile. Konkursi eesmärk oli anda ühe noortega tegeleva klubi kasutusse kvaliteetne Swerinki saalihoki portede komplekt. Võitjaks osutus SHK Merikas, kogudes 258 häält 824-st. Vaata lähemalt

0 uustulnuk

Õhtuleht
Toimetas Liisa Mugra @ Õhtuleht · täna 14:01

Teisipäeva hommikul juhtus „Terevisiooni“ otse-eetris ootamatu aps, kui varjupaigast külla toodud kass ei pidanud stuudiopingele vastu ja kergendas end keset saadet põrandale. Vahejuhtum jõudis kiiresti sotsiaalmeediasse, mis tekitas nii naeru kui ka kaastunnet ning tõi koduotsivale kass Leole üleöö tuntuse. Vaata lähemalt

0 värske

ERR
ERR · täna 14:01

Tsahkna soovitab eestlastel Lähis-Idas püsida linnades

Vaatamata sellele, et välisminister Margus Tsahkna (Eesti 200) ei näe lähiajal Lähis-Idas olukorra rahunemist, soovitab ta seal viibivatel Eesti kodanikel püsida linnades, sest seal suudetakse tagada nende turvalisus. Vaata lähemalt

0 värske

Õhtuleht
Toimetas Liina-Jaanika Seisler @ Õhtuleht · täna 14:00

Kuigi maismaalt vaadates võib tunduda, et nädal aega kestnud plusskraadid on talve seljataha jätnud, ei ole merejää Eesti vetest veel taandunud. Kõik kolm riigi jäämurdjat on endiselt töös ning aitavad laevu nii Liivi kui Soome lahel. Vaata lähemalt

0 värske

Postimees
Postimees 1 koht · täna 14:00

Ameerika Ühendriigid ja Iisrael tulistasid möödunud laupäeval Iraani pihta rakette, tappes muuhulgas riigi valitseja ajatolla Ali Khamenei. Iraan vastas rakettide saatmisega Araabia maailma erinevatesse paikadesse. Sihtmärkideks on olnud eelkõige USA mereväebaasid ja turismikeskused. Vaata lähemalt

0 uustulnuk

Postimees
Postimees 2 koht · täna 13:57

Pärast USA presidendi Donald Trumpi otsust alustada sõda Iraani vastu on riigi koomikud asunud ilkuma tema varasemate lubaduste kallal mitte enam piiri taga võidelda, samas kui internetti ilmus pilaveebileht, mis kutsub üles Trumpi poega Barronit sõtta saatma. Vaata lähemalt

0 värske

Postimees
Postimees 3 koht · täna 13:54

Eesti Laagrikorraldajate Liit (ELKL) on saatnud maksu- ja tolliametile ning rahandusministeeriumile ametliku selgitustaotluse, milles palub esmakordselt konkreetseid andmeid ja vastuseid laste- ja noortelaagrite võimaliku käibemaksustamise kohta. Vaata lähemalt

0 värske

Postimees
Postimees · täna 13:53

Eesti tuletorne külastas 2025. aastal üle 82 000 inimese. Neljandat aastat järjest oli menukaimaks Sõrve tuletorn, mida väisas taas üle 25 000 piletiga külastajat. Vaata lähemalt

0 värske

Geenius
Autoekspert @ Geenius 2 koht · täna 13:52

Liiga palju või liiga vähe mootoriõli. Millised on tagajärjed sinu autole?

Mootoriõli õige tase on auto töökindluse ja mootori pika eluea üks olulisemaid eeldusi. Liiga vähe õli võib põhjustada tõsiseid ja kalleid kahjustusi, kuid ka liigne õlikogus ei ole mootorile sugugi ohutu. Mida täpselt tähendab vale õlitase sinu auto jaoks ja miks tasub seda regulaarselt kontrollida? Loe "Liiga palju või liiga vähe mootoriõli. Millised on tagajärjed sinu autole?" täispikka artiklit portaalist Autogeenius. Vaata lähemalt

0 värske

Viimase nädala populaarseimad uudised samast allikast
Telegram Telegram
Telegram
Telegram.ee @ Telegram 3 koht · 25.02.2026 13:47

Tehisintellekti “ristiisa” paljastab ainsa viisi, kuidas inimkond saab üliintelligentse AI kõrval ellu jääda

Geoffrey Hinton, keda tuntakse tehisintellekti “ristiisana“, kardab, et tehnoloogia, mille loomisel ta kaasa aitas, võib inimkonna minema pühkida – ning “tehnoloogiavennad“ valivad selle peatamiseks vale lähenemisviisi.   Nobeli preemia võitnud arvutiteadlane ja Google’i endine juht Hinton on varem hoiatanud, et tehisintellekt hävitab inimesed 10–20% tõenäosusega. Teisipäeval väljendas ta kahtlust selles, kuidas tehnoloogiaettevõtted püüavad tagada, et ... Vaata lähemalt

0

Telegram
Telegram.ee @ Telegram 2 koht · 25.02.2026 21:19

Neljapäeval mastermind Carmen Pritsoniga: Maailma saad muuta vaid läbi iseenda

Telegram.ee boonus tellijatele – Telegram Mastermind ehk igakuine Zoomi kohtumine/vestlus toimetuse ja erikülalisega jõuab 2026. aasta reise kohtumiseni 26. veebruaril kell 19, kui meie küsimustele vastab coach, koolitaja ja Transunity Akadeemia asutaja Carmen Pritson! Loomulikult saavad Telegrami liikmed videokohtumist hiljem ka järelvaadata.   Telegram Mastermind toimub Zoomi keskkonnas ja kestab 1,5 tundi, mille jooksul Telegram.ee ... Vaata lähemalt

0

🟩 🟩 ⬜ 🟩 🟨
⬜ ⬜ ⬜ ⬜ ⬜
⬜ ⬜ ⬜ ⬜ ⬜
⬜ ⬜ ⬜ ⬜ ⬜
Legendaarne sõnamäng Wordle nüüd eesti keeles!
Arva ära tänane sõna!
Telegram
Telegram.ee @ Telegram 1 koht · 26.02.2026 09:15

Maailma juhid järgivad natside eeskuju? “Rahvast saab alati sobiliku otsuseni viia”

1945. aasta augustis asutasid Suurbritannia, Prantsusmaa, NSVL ja USA Saksamaal Nürnbergis tribunali, et mõista kohut natsirežiimi sõjaväe- ja tsiviiljuhtide üle. Vanglapsühholoogil Gustave M. Gilbertil oli haruldane võimalus jälgida ja küsitleda natside sõjakurjategijaid. Teadusliku kiretusega julgustas ta Göeringit, Speeri, Hessi, Ribbentropi, Franki, Jodlit, Keitelit, Streicherit ja teisi avaldama oma sisimaid mõtteid.   Gilbert pani kuuldu kirja ... Vaata lähemalt

0

Telegram
Telegram.ee @ Telegram 1 koht · 27.02.2026 11:26

Suur intervjuu: “Ma ei põgenenud!” – Andro Roos vastab süüdistustele ja paljastab hoiulaenuühistute hävitamise

Avaldame 1 tunni ja 15 minuti pikkuse video ja kirjaliku lühikokkuvõtte Hando Tõnumaa vestlusest Tartu Hoiu-laenuühistu endise juhatuse esimehe Andro Roosiga, kes kuulus pikalt ka Keskerakonda ja asutas erakonna Plaan B. Ta lahkus ametist ajal, mil jõustus seadusemuudatus, mis tähendab hoiulaenuühistute jaoks sisuliselt tegevuse lõppu. Roosi sõnul ei olnud tema tagasiastumine põgenemine, nagu on väidetud. ... Vaata lähemalt

0

Telegram
Telegram.ee @ Telegram 1 koht · 28.02.2026 11:25

JÄRELVAATAMINE! Telegram Mastermind #23. Carmen Pritson: Maailma saad muuta vaid läbi iseenda

26. veebruaril toimus kahekümne kolmas Telegram.ee boonus tellijatele – Telegram Mastermind ehk Zoomi kohtumine/vestlus toimetuse ja erikülalisega. Seekord vastas küsimustele coach, koolitaja ja Transunity Akadeemia asutaja Carmen Pritson.   Carmen Pritson on põlvkondadeülese trauma ja esivanemate mustrite ekspert, autor ja rahvusvaheline kõneleja. Oma lähenemises ühendab ta süsteemse mõtlemise, närvisüsteemi teadlikkuse ja praktilised tööriistad, mis aitavad inimestel ... Vaata lähemalt

0

Telegram
Telegram.ee @ Telegram 2 koht · 01.03.2026 11:49

Gareth Icke Iisraeli-USA rünnakutest Iraanile: aitab sõdadest pedofiilide ja satanistide nimel

Maailm seisab taas ohtliku eskalatsiooni lävel. Lähis-Idas süvenev vastasseis Iraani, Iisraeli ja Ameerika Ühendriikide vahel võib poliitikakommentaator Gareth Icke´i hinnangul kujuneda konfliktiks, mille mõjud ulatuvad kaugelt üle piirkondlike piiride. Oma eileõhtuses videos vaatleb ta toimuvat kriitilise pilguga, seades kahtluse alla ametlikud põhjendused, poliitiliste liidrite järjepidevuse ning meediaruumi sõltumatuse.    Ta toob välja ka, et Epsteini ... Vaata lähemalt

0

Telegram
Telegram.ee @ Telegram 1 koht · 02.03.2026 10:09

Rail Balticu projektist loobumise mõtted on jõudnud ka rahvusringhäälingusse

Rail Balticu projekt, mille eesmärk oli ühendada Balti riigid Euroopa raudteevõrguga, on jõudnud punkti, kus üha enam kerkib küsimus mitte ainult selle ümberkujundamisest, vaid ka võimalikust täielikust loobumisest. Algne 2026. aasta valmimistähtaeg on ammu käest lastud, eelarve on paisunud mitmekordseks ning projekt on kärbitud lihtsustatud etappideks. ERR-is 28. veebruaril ilmunud artikli “Rail Baltic – ettenähtav ... Vaata lähemalt

0

Populaarsemad allikad

  • Sa näed 1,000 uudist (kokku 1,000).
  • Allikaid 113 (kokku 113).
Eesti Ekspress 0%
Tervisegeenius 0%
Viimsi Uudised 0%
Sirp 0%
Vanglaplaneet 0%
Vaata allikaid »

Pane LIKE Facebook-is ja ära maga maha päeva kõige tähtsamat uudist!

03.03.2026 14:31
Viimane uuendus: 14:28.
Uudiste reiting uuendatud: 14:21.

Mis on Uudis.net?

Uudis.net näitab populaarsemate uudiste edetabelit erinevatest Eesti uudisteportaalidest.
Meie tööpõhimõttetest loe lähemalt KKK rubriigist.

Keele valik

Српски / srpski Eesti keel (Eesti uudised) Русский язык (новости Эстонии) Українська мова (новини Естонії)


Uudis.net © 2026